『最近咳が増えたな・・』『疲れやすくなったな・・・』
そのような症状、心臓病のサインかもしれません。
犬の心疾患で最も多い『僧帽弁閉鎖不全症』。
心臓の左心房と左心室の間にある「僧帽弁」というドアが、加齢とともに分厚く変形し、ピタリと閉まらなくなる病気です。弁が完全に閉まらないため、血液が逆流し、心臓や肺に大きな負担がかかります。進行すると肺水腫(肺に水が溜まる状態)を引き起こし、呼吸困難に陥る命に関わる疾患です。肺水腫は突然起こるものなので、昨日まで元気だったのに、急に呼吸がしづらそう・・なども十分に起こりうる疾患です。
当院では心臓に関する検査も対応可能ですので、いつでもご来院ください。

早期発見と正確な診断が鍵
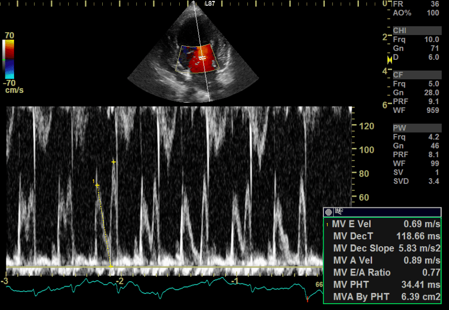
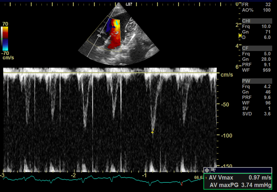
初期段階では症状がほとんど出ないため、聴診での心雑音のチェックが最初の入り口となります。聴診で心臓の雑音が確認された場合は、レントゲン検査、心臓超音波(エコー)検査、心電図、血圧測定などを行い、心臓の拡大や逆流の程度を正確に評価します。
当院では、各ステージ(進行度)に合わせた国際的なガイドラインに基づき、適切なタイミングで治療を開始します。


↑色々な数値を測定して総合的に診断し、治療計画を立てます。
生涯にわたるコントロール
この病気は内科的治療(お薬)で完治するものではありません。しかし、適切な薬を服用することで、心臓の負担を減らし、進行を遅らせ、健やかな生活の質(QOL)を長く維持することが十分に可能です。
定期的な検査の重要性
心臓の状態は少しずつ変化します。「薬を飲んでいるから安心」ではなく、数ヶ月ごとの定期的な再評価(聴診やエコー検査)を行い、病態に合わせて薬の種類や量を微調整していくことが不可欠です。
シニア犬の咳は「年のせい」で済ませず、まずは一度ご来院ください。
